한국헬스경제신문 | 강영애 연세대학교 의학과, 세브란스병원 호흡기내과 교수
잠복 결핵과 활동성 결핵의 차이
질병관리청 발표에 따르면 우리나라 인구 10만 명당 35.2명이 결핵에 걸릴 정도로 발병률이 높다. 특히 65세 이상 환자가 전체의 58.7%로 고령층을 위협하는 병이다. 결핵균에 노출되면 1차적으로 폐 안의 면역세포들이 결핵균을 죽이기 위해 활동한다.
이 과정에서 면역 세포들이 결핵균을 조절하지 못하면 1~2년 내에 활동성 결핵이 되고, 잘 조절하면 결핵균의 활동성이 떨어져 병으로 발병하지 않고 몸 안에 균을 가지고 있는(보균) 잠복 결핵 감염 상태가 된다. 마치 균이 휴면 상태처럼 되는 것이다. 이때는 몸 안에 균이 들어오기는 했지만 활동을 멈춘 상태이므로, 증상도 없고 다른 사람에게 균을 전염시킬 우려도 없다. 즉 결핵균에 감염된 모든 사람이 ‘활동성 결핵’에 이르지는 않는다.
그런데 잠복 결핵 감염 상태에서 수십 년을 지내다가도 결핵균을 조절하는 몸의 면역 상태와 결핵균 사이의 균형이 깨지면 결핵균이 활동을 시작하면서 활동성 결핵이 되기도 한다. 결핵균이 몸에 들어온 시기가 오래전인 20대 때였더라도 60~70대에 결핵이 발병할 수 있다.
일반적으로 우리나라 인구의 약 사 분의 일이 잠복 결핵 감염 상태일 것으로 보고 있다. 고령층에서는 젊은 시절에 이미 감염된 상태에서 계속 유지되는 경우가 많고, 젊은 연령대에서는 최근에 환자와 접촉하면서 감염된 상태가 많은 것으로 추정한다. 기존 감염보다는 최근에 감염된 경우에 활동성 결핵으로 발병할 확률이 조금 더 높다고 알려져 있다.
결핵의 특징 중 하나는 공기 매개 전염이라는 것이다. 결핵균은 사람 몸속에서만 살 수 있는데, 결핵 환자가 말하거나 기침할 때 결핵균이 공기 중으로 배출되고, 이 균이 공기 중에 얼마 동안 떠 있다가 주위 사람들이 그 공기로 숨을 쉴 때 폐로 들어가서 새로운 사람을 감염시킨다. 이처럼 공기 매개 전염에 따른 사회적 확산 위험 때문에 결핵은 진단 후 24시간 이내에 반드시 신고 후 격리를 해야 하는 제2급 법정 감염병이다.
활동성 결핵이 발병하면 폐 외에도 전신에 병을 일으킬 수 있어서 폐결핵과 폐 외 결핵으로 구분한다. 결핵의 약 75~80%는 폐결핵, 20~25% 정도는 폐 외 결핵이다. 폐결핵과 기관지 결핵 등 호흡기 결핵은 전염성이 있는 반면에 결핵성 림프절염, 골관절 결핵, 결핵성 뇌수막염 같은 폐 외 결핵은 전염성이 없다.
결핵의 증상과 진단
폐결핵에 걸리면 기침, 가래, 객혈 등 호흡기 증상과 체중 감소, 전신 쇠약, 야간 발한 등의 증상이 나타날수 있다. 그러나 초기에는 병의 증상이 명확하지 않아 무증상 상태일 때도 있다. 폐 외 결핵은 발병 부위에 따라 증상이 달라지기도 한다. 예를 들어 결핵성 뇌수막염에서는 두통, 구토, 의식 저하 등이 나타난다.
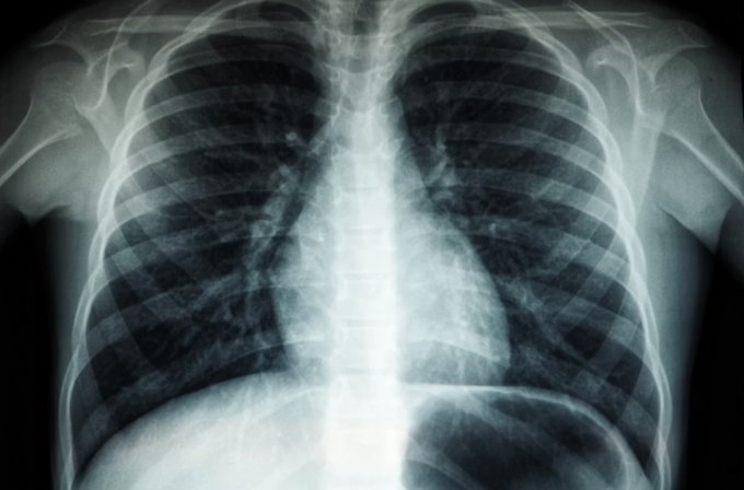
결핵 진단을 위해서는 몸속에 결핵균이 있는지 확인해야 한다. 폐결핵은 보통 가래를 이용해 항산균 도말 검사, 항산균 배양 검사, 결핵균 유전자 검사를 기본으로 시행한다. 흉부 엑스레이, 흉부 전산화단층촬영(CT) 등도 폐결핵의 진단과 치료 경과를 확인하는 데 이용된다.
활동성 결핵을 진단하는 검사는 아니지만, 우리 몸에 결핵균이 들어와 면역 반응을 일으키고 있는지 확인하는 방법으로 결핵 피부 반응 검사(투베르쿨린 검사)와 전혈 인터페론감마 검사도 있다. 이 검사들은 우리 몸에 있는 면역세포들이 결핵균에 반응하는 정도를 측정해 일정 기준 이상이면 양성으로 판정한다. 활동성 결핵으로 인한 증상이 없어도 면역 반응 검사에서 양성으로 나타나면 잠복 결핵 감염 상태일 수 있다.
국내의 경우, 처음 결핵에 걸린 환자들은 대부분 감수성 결핵, 즉 일차 약제에 내성이 없는 단순 결핵이다. 하지만 약 10% 정도는 결핵균이 일차 결핵 치료에 사용하는 약에 저항성을 보이는 내성 결핵이다. 내성 결핵에는 주요 치료제인 리팜핀에 내성이 있는 리팜핀 내성, 리팜핀과 이소니아지드에 모두 내성이 있는 다제 내성 등이 있다.
결핵을 치료할 때 주의할 점
결핵 치료를 할 때는 꾸준히 약물을 복용하고 충분한 영양을 섭취하는 것이 매우 중요하다. 특히 약을 임의로 중단하거나, 먹다 말다를 반복하면 안 된다. 결핵균에 약제 내성이 생길 수 있기 때문이다. 만약 치료 중이상 반응이 생기거나 힘든 점이 있으면 담당 의료진과 상의해야 한다.
폐결핵은 병의 중증도가 심하지 않으면 약물로 무리 없이 완치할 수 있다. 그러나 병의 중증도가 심해 폐손상이 있는 경우에는 결핵 치료 중 또는 완치 후에도 객혈과 같은 합병증을 보일 수 있다. 심한 경우 폐 기능저하와 이로 인한 호흡곤란이 발생하기도 한다. 어느 병이나 마찬가지이듯 폐결핵도 병의 초기에 빨리 진단하고 치료하는 것이 합병증이나 후유증을 예방하는 방법이다.










